Dental clinic Thailand, Dental Thailand, Dentist Thailand, Dental implant and Tooth whitening Thailand.

 
Home Price Contact us Sitemap
 
Search:  
•  Dental implant
•  Laser teeth whitening
•  Immediate implant
•  Home whitening
•  Dental crown
•  Dental bridge
•  Porcelain veneer
•  Dental bonding
•  Dental makeover
•  Invisalign
•  Orthodontics
•  Denture
•  Root canal
•  Gum treatment
•  Tooth-colored filling
•  Inlay/onlay
•  Joint disorder
•  Sedation dentistry
Dental Information
Sea Smile
Dental Smile Studio
Patong Smile
View dramatic before and after photos in out galleries

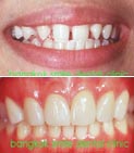
Instant orthodontics

Spacing and irregular shape teeth

Treatment: 6 porcelain laminated veneers at upper teeth
Duration: 2 appointments in 7 days

 Before  After

Spacing teeth

Treatment: 6 porcelain laminated veneers at upper teeth
Duration:
3 appointments in 7 days

 Before  After

Crowding teeth

Treatment: 10 porcelain veneers at upper teeth. 8 porcelain veneers
at lower teeth.
Duration: 3 appointments in 10 days

 Before  After

< Prev Page | 1 | 2 | 3 | 4 | 5 |
Top

 

Copyright © 2006 Denthailand.org